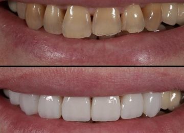
Реставрация зубов позволяет вернуть красивую улыбку при сколах, трещинах, кариесе или травмах. Процедура восстанавливает правильную форму, размер и естественный цвет зуба, а также устраняет диастемы и другие эстетические дефекты.
Применяются два метода: прямая реставрация композитными материалами непосредственно в полости рта и непрямая — с использованием коронок, накладок и виниров, изготовленных в зуботехнической лаборатории.
В нашей клинике выполняется полный комплекс эстетической реставрации: от замены потемневшей пломбы до восстановления сильно разрушенного зуба. Собственная лаборатория и современные материалы обеспечивают результат, неотличимый от натуральных зубов.


