Π ΠΎΠ²Π½ΡΠ΅ Π·Π΄ΠΎΡΠΎΠ²ΡΠ΅ Π·ΡΠ±Ρ Π΄Π°Π»Π΅ΠΊΠΎ Π½Π΅ Π²ΡΠ΅ΠΌ Π΄ΠΎΡΡΠ°ΡΡΡΡ ΠΎΡ ΠΏΡΠΈΡΠΎΠ΄Ρ. Π‘ Π²ΠΎΠ·ΡΠ°ΡΡΠΎΠΌ ΠΏΠ΅ΡΠ΅Π΄Π½ΠΈΠΉ Π·ΡΠ±Π½ΠΎΠΉ ΡΡΠ΄ ΡΡΠΈΡΠ°Π΅ΡΡΡ, ΠΌΠΎΠ³ΡΡ ΠΏΠΎΡΠ²ΠΈΡΡΡΡ ΡΠΊΠΎΠ»Ρ ΠΈ Π½Π΅ΡΠΎΠ²Π½ΠΎΡΡΠΈ, ΠΏΠΎΡΠ»Π΅ ΠΏΠ»ΠΎΠΌΠ±ΠΈΡΠΎΠ²ΠΊΠΈ ΠΈΠ·ΠΌΠ΅Π½ΡΠ΅ΡΡΡ ΡΠ²Π΅Ρ Π΄Π΅Π½ΡΠΈΠ½Π°. ΠΡΠ»ΠΈ ΠΆΠ΅ Π·ΡΠ± ΠΈΠΌΠ΅Π΅Ρ Π²ΡΠΎΠΆΠ΄Π΅Π½Π½ΡΠΉ Π΄Π΅ΡΠ΅ΠΊΡ ΠΈΠ»ΠΈ Π½Π°Π±Π»ΡΠ΄Π°Π΅ΡΡΡ Π½Π΅ΠΏΡΠ°Π²ΠΈΠ»ΡΠ½ΡΠΉ ΠΏΡΠΈΠΊΡΡ, ΡΠ΅ΡΠ΅Π½ΠΈΠ΅ΠΌ ΠΌΠΎΠΆΠ΅Ρ ΡΡΠ°ΡΡ ΡΡΡΠ°Π½ΠΎΠ²ΠΊΠ° Π²ΠΈΠ½ΠΈΡΠΎΠ².
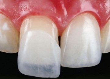
ΠΠ°Π½Π½ΡΠΉ Π²ΠΈΠ΄ Π·ΡΠ±ΠΎΠΏΡΠΎΡΠ΅Π·Π½ΡΡ ΠΊΠΎΠ½ΡΡΡΡΠΊΡΠΈΠΉ ΠΏΡΠ΅Π΄ΡΡΠ°Π²Π»ΡΠ΅Ρ ΡΠΎΠ±ΠΎΠΉ ΠΎΡΠ΅Π½Ρ ΡΠΎΠ½ΠΊΠΈΠ΅, Π½ΠΎ ΠΏΡΠΎΡΠ½ΡΠ΅ ΠΏΠ»Π°ΡΡΠΈΠ½ΠΊΠΈ ΠΈΠ· ΠΊΠΎΠΌΠΏΠΎΠ·ΠΈΡΠ° ΠΈΠ»ΠΈ ΠΊΠ΅ΡΠ°ΠΌΠΈΠΊΠΈ. ΠΡ ΠΈΡΠΏΠΎΠ»ΡΠ·ΡΡΡ Π² Π²ΠΈΠ΄Π΅ Π½Π°ΠΊΠ»Π°Π΄ΠΎΠΊ ΠΈ ΡΡΡΠ°Π½Π°Π²Π»ΠΈΠ²Π°ΡΡ Π±Π΅Π· ΠΎΠ±ΡΠΎΡΠΊΠΈ ΠΈ Π½Π°ΡΡΡΠ΅Π½ΠΈΡ ΡΠ΅Π»ΠΎΡΡΠ½ΠΎΡΡΠΈ ΡΠΌΠ°Π»ΠΈ.Β
ΠΠΎΠΊΠ°Π·Π°Π½ΠΈΡ ΠΈ ΠΏΡΠΎΡΠΈΠ²ΠΎΠΏΠΎΠΊΠ°Π·Π°Π½ΠΈΡ ΠΊ ΡΡΡΠ°Π½ΠΎΠ²ΠΊΠ΅ Π²ΠΈΠ½ΠΈΡΠΎΠ²
ΠΠ΅ΠΏΡΠ°Π²ΠΈΠ»ΡΠ½Π°Ρ ΡΠΎΡΠΌΠ° ΠΈ ΡΠ°Π·ΠΌΠ΅Ρ Π·ΡΠ±ΠΎΠ², Π½Π°Π»ΠΈΡΠΈΠ΅ Π΄Π΅ΡΠ΅ΠΊΡΠΎΠ², ΡΡΠΈΡΠ°Π½ΠΈΠ΅ ΡΠΌΠ°Π»ΠΈ β ΡΡΠΈ ΠΈ Π΄ΡΡΠ³ΠΈΠ΅ ΠΏΡΠΈΡΠΈΠ½Ρ ΡΠ²Π»ΡΡΡΡΡ ΠΏΠΎΠΊΠ°Π·Π°Π½ΠΈΡΠΌΠΈ ΠΊ ΠΊΠΎΡΠΌΠ΅ΡΠΈΡΠ΅ΡΠΊΠΎΠΉ ΡΠ΅ΡΡΠ°Π²ΡΠ°ΡΠΈΠΈ Ρ ΠΏΠΎΠΌΠΎΡΡΡ Π·ΡΠ±ΠΎΠΏΡΠΎΡΠ΅Π·Π½ΡΡ ΡΠ»Π΅ΠΌΠ΅Π½ΡΠΎΠ².
Π‘ΠΏΠ΅ΡΠΈΠ°Π»ΠΈΡΡ ΠΏΠΎΡΠ΅ΠΊΠΎΠΌΠ΅Π½Π΄ΡΠ΅Ρ Π²ΠΈΠ½ΠΈΡΡ Π² ΡΠ»Π΅Π΄ΡΡΡΠΈΡ ΡΠ»ΡΡΠ°ΡΡ :Β
- ΠΏΡΠΈ ΡΠ°Π·ΡΡΡΠ΅Π½ΠΈΠΈ ΠΏΠ΅ΡΠ΅Π΄Π½ΠΈΡ Π·ΡΠ±ΠΎΠ², ΡΠ°ΡΠΏΠΎΠ»ΠΎΠΆΠ΅Π½Π½ΡΡ Π² Π·ΠΎΠ½Π΅ ΡΠ»ΡΠ±ΠΊΠΈ: Π² Π΄Π°Π½Π½ΠΎΠΌ ΡΠ»ΡΡΠ°Π΅ ΠΏΡΠΎΠ²ΠΎΠ΄ΠΈΡΡΡ ΠΈΡ Π»Π΅ΡΠ΅Π½ΠΈΠ΅, ΠΏΠΎΡΠ»Π΅ ΡΠ΅Π³ΠΎ Π½Π° ΡΡΠΎΠ½ΡΠ°Π»ΡΠ½ΡΡ ΠΎΠ±Π»Π°ΡΡΡ ΡΡΡΠ°Π½Π°Π²Π»ΠΈΠ²Π°ΡΡ Π½Π°ΠΊΠ»Π°Π΄ΠΊΠΈ;Β
- ΠΏΡΠΈ Π½Π°Π»ΠΈΡΠΈΠΈ Π·Π½Π°ΡΠΈΡΠ΅Π»ΡΠ½ΡΡ ΠΏΡΠΎΠΌΠ΅ΠΆΡΡΠΊΠΎΠ² ΠΌΠ΅ΠΆΠ΄Ρ Π·ΡΠ±Π°ΠΌΠΈ, ΠΈΡ ΡΠΌΠ΅Π½ΡΡΠ΅Π½Π½ΠΎΠΌ ΡΠ°Π·ΠΌΠ΅ΡΠ΅ ΠΈ Π½Π΅ΡΠΎΠ²Π½ΠΎΡΡΡΡ : Π² ΡΡΠΎΠΌ ΡΠ»ΡΡΠ°Π΅ ΠΌΠΎΠΆΠ½ΠΎ Π²ΡΠΏΠΎΠ»Π½ΠΈΡΡ ΠΏΡΠΎΡΠ΅Π΄ΡΡΡ Ρ ΠΏΠΎΠΌΠΎΡΡΡ ΠΊΠΎΠΌΠΏΠΎΠ·ΠΈΡΠ° β Π½Π° ΡΠ°ΠΊΠΈΠ΅ Π²ΠΈΠ½ΠΈΡΡ ΡΠ΅Π½Π° ΠΎΡΠ»ΠΈΡΠ°Π΅ΡΡΡ Π΄ΠΎΡΡΡΠΏΠ½ΠΎΡΡΡΡ;
- ΠΏΠΎΡΠ»Π΅ ΡΡΠ°Π²ΠΌΡ ΠΈ ΠΏΠΎΡΠ²Π»Π΅Π½ΠΈΡ ΡΠΊΠΎΠ»ΠΎΠ²: ΡΠΎΠ½ΡΠ°ΠΉΡΠΈΠ΅ ΠΏΠ»Π°ΡΡΠΈΠ½ΠΊΠΈ ΠΈΠ· ΠΏΡΠΎΡΠ½ΠΎΠ³ΠΎ ΠΌΠ°ΡΠ΅ΡΠΈΠ°Π»Π° ΠΏΠΎΠ·Π²ΠΎΠ»ΡΡΡ Π½Π°Π΄Π΅ΠΆΠ½ΠΎ Π·Π°ΡΠΈΡΠΈΡΡ Π·ΡΠ± ΠΎΡ Π΄Π°Π»ΡΠ½Π΅ΠΉΡΠ΅Π³ΠΎ ΡΠ°Π·ΡΡΡΠ΅Π½ΠΈΡ ΠΈ Π²Π΅ΡΠ½ΡΡΡ Π΅ΠΌΡ Π·Π΄ΠΎΡΠΎΠ²ΡΠΉ Π²ΠΈΠ΄;
- ΠΏΠ°ΡΠΈΠ΅Π½Ρ Π½Π΅Π΄ΠΎΠ²ΠΎΠ»Π΅Π½ ΡΠ²Π΅ΡΠΎΠΌ ΠΈ ΡΠΎΡΠΌΠΎΠΉ Π·ΡΠ±ΠΎΠ²: ΠΏΡΠΎΠ±Π»Π΅ΠΌΡ ΡΡΡΡΠ°Π½ΡΡΡ ΠΏΡΡΠ΅ΠΌ ΠΈΠ·Π³ΠΎΡΠΎΠ²Π»Π΅Π½ΠΈΡ Π²ΠΈΠ½ΠΈΡΠΎΠ² Π½Π° Π·ΡΠ±Π½ΠΎΠΉ ΡΡΠ΄, ΡΡΠΎ ΠΏΠΎΠ·Π²ΠΎΠ»ΡΠ΅Ρ ΠΏΡΠΎΠ²Π΅ΡΡΠΈ ΠΊΠΎΡΡΠ΅ΠΊΡΠΈΡΠΎΠ²ΠΊΡ Π±Π΅Π· Π΄Π΅ΠΏΡΠ»ΡΠΏΠΈΡΠΎΠ²Π°Π½ΠΈΡ ΠΈ Π·Π½Π°ΡΠΈΡΠ΅Π»ΡΠ½ΠΎΠΉ ΠΎΠ±ΡΠ°Π±ΠΎΡΠΊΠΈ.
ΠΠ΄Π½Π°ΠΊΠΎ ΠΏΠ΅ΡΠ΅Π΄ ΡΡΡΠ°Π½ΠΎΠ²ΠΊΠΎΠΉ Π²ΠΈΠ½ΠΈΡΠΎΠ² Π½Π΅ΠΎΠ±Ρ ΠΎΠ΄ΠΈΠΌΠΎ ΠΏΡΠΎΠΊΠΎΠ½ΡΡΠ»ΡΡΠΈΡΠΎΠ²Π°ΡΡΡΡ ΡΠΎ ΡΠΏΠ΅ΡΠΈΠ°Π»ΠΈΡΡΠΎΠΌ, ΡΠ°ΠΊ ΠΊΠ°ΠΊ ΠΎΠ½ΠΈ ΠΈΠΌΠ΅ΡΡ ΡΡΠ΄ ΠΏΡΠΎΡΠΈΠ²ΠΎΠΏΠΎΠΊΠ°Π·Π°Π½ΠΈΠΉ. ΠΠ°ΠΏΡΠΈΠΌΠ΅Ρ, ΡΠΌΠ΅Π½ΡΡΠ΅Π½Π½Π°Ρ ΡΠΎΠ»ΡΠΈΠ½Π° ΡΠΌΠ°Π»ΠΈ, ΠΏΡΡΠΌΠΎΠΉ ΠΏΡΠΈΠΊΡΡ, Π±ΡΡΠΊΡΠΈΠ·ΠΌ. Π Π΄Π°Π½Π½ΠΎΠΌ ΡΠ»ΡΡΠ°Π΅ Π²ΡΠ°Ρ-ΡΡΠΎΠΌΠ°ΡΠΎΠ»ΠΎΠ³ ΠΌΠΎΠΆΠ΅Ρ ΠΏΠΎΡΠ΅ΠΊΠΎΠΌΠ΅Π½Π΄ΠΎΠ²Π°ΡΡ ΠΌΠ΅ΡΠ°Π»Π»ΠΎΠΊΠ΅ΡΠ°ΠΌΠΈΡΠ΅ΡΠΊΠΈΠ΅ ΠΊΠΎΡΠΎΠ½ΠΊΠΈ.Β
ΠΠΎΠΌΠΏΠΎΠ·ΠΈΡΠ½ΡΠ΅ ΠΈ ΠΊΠ΅ΡΠ°ΠΌΠΈΡΠ΅ΡΠΊΠΈΠ΅ Π²ΠΈΠ½ΠΈΡΡ, ΠΏΡΠΎΡΠ΅ΡΡ ΡΡΡΠ°Π½ΠΎΠ²ΠΊΠΈ
ΠΠ΅ΡΠ΅Π΄ ΡΡΡΠ°Π½ΠΎΠ²ΠΊΠΎΠΉ Π²ΠΈΠ½ΠΈΡΠΎΠ² ΡΡΠΎΠΌΠ°ΡΠΎΠ»ΠΎΠ³ ΠΎΠ±ΡΠ·Π°Π½ Π²ΡΠΏΠΎΠ»Π½ΠΈΡΡ ΡΡΠ΄ ΡΠΎΠΏΡΡΡΡΠ²ΡΡΡΠΈΡ ΠΏΡΠΎΡΠ΅Π΄ΡΡ, Π½Π°ΠΏΡΠ°Π²Π»Π΅Π½Π½ΡΡ Π½Π° Π²ΠΎΡΡΡΠ°Π½ΠΎΠ²Π»Π΅Π½ΠΈΠ΅ Π·Π΄ΠΎΡΠΎΠ²ΡΡ ΠΈ ΡΠ΅Π»ΠΎΡΡΠ½ΠΎΡΡΠΈ Π·ΡΠ±ΠΎΠ². Π’Π°ΠΊ, ΠΏΡΠΈ Π½Π°Π»ΠΈΡΠΈΠΈ ΠΊΠ°ΡΠΈΠ΅ΡΠ° Π½Π΅ΠΎΠ±Ρ ΠΎΠ΄ΠΈΠΌΠΎ ΠΏΡΠΎΠ²Π΅ΡΡΠΈ ΠΏΠ»ΠΎΠΌΠ±ΠΈΡΠΎΠ²ΠΊΡ, Π° ΡΠ°ΠΊΠΆΠ΅ ΡΡΡΡΠ°Π½ΠΈΡΡ ΡΠ²Π΅ΡΠ΄ΡΠΉ Π½Π°Π»Π΅Ρ ΠΈ Π·ΡΠ±Π½ΠΎΠΉ ΠΊΠ°ΠΌΠ΅Π½Ρ.
ΠΡΠΈ ΠΊΠΎΠΌΠΏΠΎΠ·ΠΈΡΠ½ΠΎΠΌ Π²Π°ΡΠΈΠ°Π½ΡΠ΅ Π²ΡΠ°Ρ ΠΈΡΠΏΠΎΠ»ΡΠ·ΡΠ΅Ρ ΠΏΠΎΠ»ΡΠΏΡΠΎΠ·ΡΠ°ΡΠ½ΡΠΉ ΠΌΠ°ΡΠ΅ΡΠΈΠ°Π», ΡΠΎΡΠΌΠΈΡΡΡ Π·ΡΠ±Ρ Π½Π΅ΠΏΠΎΡΡΠ΅Π΄ΡΡΠ²Π΅Π½Π½ΠΎ Π² ΡΠΎΡΠΎΠ²ΠΎΠΉ ΠΏΠΎΠ»ΠΎΡΡΠΈ. ΠΠ΅ΡΠ°ΠΌΠΈΡΠ΅ΡΠΊΠΈΠ΅ ΠΆΠ΅ Π²ΠΈΠ½ΠΈΡΡ ΡΡΠ΅Π±ΡΠ΅Ρ ΡΠ½ΡΡΠΈΡ ΡΠ»Π΅ΠΏΠΊΠ°, ΠΎΠΏΡΠ΅Π΄Π΅Π»Π΅Π½ΠΈΡ ΠΎΡΠΎΠ±Π΅Π½Π½ΠΎΡΡΠ΅ΠΉ ΡΡΡΠΎΠ΅Π½ΠΈΡ ΡΠ΅Π»ΡΡΡΠΈ ΠΈ ΡΠΎΠ»ΡΠΊΠΎ ΠΏΠΎΡΠΎΠΌ ΠΈΠ·Π³ΠΎΡΠΎΠ²Π»Π΅Π½ΠΈΡ ΠΏΡΠΎΡΠ΅Π·Π½ΠΎΠΉ ΠΊΠΎΠ½ΡΡΡΡΠΊΡΠΈΠΈ. ΠΠΎΡΠΎΠ²ΡΠ΅ ΠΏΠ»Π°ΡΡΠΈΠ½ΠΊΠΈ ΠΏΡΠΈΠΊΡΠ΅ΠΏΠ»ΡΡΡ Ρ ΠΏΠΎΠΌΠΎΡΡΡ Π³Π΅Π»Π΅Π²ΠΎΠ³ΠΎ ΡΡΠ΅Π΄ΡΡΠ²Π°.Β
ΠΠ· ΠΊΠΎΠΌΠΏΠΎΠ·ΠΈΡΠ½ΠΎΠ³ΠΎ ΠΌΠ°ΡΠ΅ΡΠΈΠ°Π»Π° ΠΌΠΎΠΆΠ½ΠΎ Π²ΡΠΏΠΎΠ»Π½ΠΈΡΡ Π²ΠΈΠ½ΠΈΡΡ Π½Π° ΠΎΠ΄ΠΈΠ½-Π΄Π²Π° Π·ΡΠ±Π°. Π ΡΠΎ Π²ΡΠ΅ΠΌΡ ΠΊΠ°ΠΊ Ρ ΠΊΠ΅ΡΠ°ΠΌΠΈΡΠ΅ΡΠΊΠΈΠΌΠΈ Π½Π°ΠΊΠ»Π°Π΄ΠΊΠ°ΠΌΠΈ Π΄Π°Π½Π½ΡΠΉ ΡΠΏΠΎΡΠΎΠ± Π½Π΅ ΠΈΡΠΏΠΎΠ»ΡΠ·ΡΠ΅ΡΡΡ: ΠΏΡΠΎΡΠ΅Π·Ρ ΠΈΠ·Π³ΠΎΡΠ°Π²Π»ΠΈΠ²Π°ΡΡ Π½Π° Π²ΡΡ ΡΡΠΎΠ½ΡΠ°Π»ΡΠ½ΡΡ ΡΠ°ΡΡΡ Π·ΡΠ±Π½ΠΎΠ³ΠΎ ΡΡΠ΄Π°.Β
ΠΠ±Π° Π²ΠΈΠ΄Π° Π½Π°ΠΊΠ»Π°Π΄ΠΎΠΊ ΠΏΠΎΠ·Π²ΠΎΠ»ΡΡΡ Π²Π΅ΡΠ½ΡΡΡ Π·ΡΠ±Π°ΠΌ ΠΆΠ΅Π»Π°Π΅ΠΌΡΡ Π±Π΅Π»ΠΈΠ·Π½Ρ ΠΈ ΠΏΡΠ°Π²ΠΈΠ»ΡΠ½ΡΡ ΡΠΎΡΠΌΡ. ΠΡ ΡΠΎΠ»ΡΠΈΠ½Π° ΠΌΠΈΠ½ΠΈΠΌΠ°Π»ΡΠ½Π° ΠΈ Π²ΠΈΠ·ΡΠ°Π»ΡΠ½ΠΎ ΡΠΎΠ²Π΅ΡΡΠ΅Π½Π½ΠΎ Π½Π΅Π·Π°ΠΌΠ΅ΡΠ½Π°, Π° Π²Π΅ΡΡ Π½ΡΡ ΡΠ°ΡΡΡ Π²ΠΈΠ½ΠΈΡΠ° ΠΏΠΎΠ»Π½ΠΎΡΡΡΡ ΡΠΎΠ²ΠΏΠ°Π΄Π°Π΅Ρ Ρ Π΄Π΅ΡΠ½Π΅Π²ΡΠΌ ΠΊΡΠ°Π΅ΠΌ.Β
Π£ΡΡΠ°Π½ΠΎΠ²ΠΊΠ° Π²ΠΈΠ½ΠΈΡΠΎΠ² Π² Π¦ΠΈΡΡΠΎΠ²ΠΎΠΉ ΡΡΠΎΠΌΠ°ΡΠΎΠ»ΠΎΠ³ΠΈΠΈ
ΠΠ°ΡΠ° ΡΡΠΎΠΌΠ°ΡΠΎΠ»ΠΎΠ³ΠΈΡΠ΅ΡΠΊΠ°Ρ ΠΊΠ»ΠΈΠ½ΠΈΠΊΠ° ΠΏΠΎΠΌΠΎΠΆΠ΅Ρ Π²Π΅ΡΠ½ΡΡΡ ΠΊΡΠ°ΡΠΎΡΡ ΡΠ»ΡΠ±ΠΊΠΈ ΠΈ ΡΡΡΠ°Π½ΠΎΠ²ΠΈΡΡ Π²ΠΈΠ½ΠΈΡΡ Π² ΠΠ°Π»ΠΈΠ½ΠΈΠ½Π³ΡΠ°Π΄Π΅ ΠΏΡΠΈ ΡΠΌΠ΅ΡΠ΅Π½Π½ΡΡ ΡΠ°ΡΡ ΠΎΠ΄Π°Ρ . ΠΡΡΠΎΠΊΠΈΠΉ ΠΏΡΠΎΡΠ΅ΡΡΠΈΠΎΠ½Π°Π»ΠΈΠ·ΠΌ Π½Π°ΡΠΈΡ Π²ΡΠ°ΡΠ΅ΠΉ, ΡΠΎΠ²ΡΠ΅ΠΌΠ΅Π½Π½Π°Ρ ΡΠ΅Ρ Π½ΠΈΡΠ΅ΡΠΊΠ°Ρ Π±Π°Π·Π° ΠΈ Π½Π°Π»ΠΈΡΠΈΠ΅ ΡΠΎΠ±ΡΡΠ²Π΅Π½Π½ΠΎΠΉ ΡΡΠΎΠΌΠ°ΡΠΎΠ»ΠΎΠ³ΠΈΡΠ΅ΡΠΊΠΎΠΉ Π»Π°Π±ΠΎΡΠ°ΡΠΎΡΠΈΠΈ ΠΏΠΎΠ·Π²ΠΎΠ»ΡΡΡ ΠΏΡΠΎΠ²Π΅ΡΡΠΈ ΠΊΠΎΠΌΠΏΠ»Π΅ΠΊΡΠ½ΠΎΠ΅ ΠΎΠ±ΡΠ»ΡΠΆΠΈΠ²Π°Π½ΠΈΠ΅ ΠΏΠ°ΡΠΈΠ΅Π½ΡΠΎΠ².Β
Π Ρ ΡΠΈΡΡΠΎΠ²ΡΠΌ Π΄ΠΈΠ·Π°ΠΉΠ½ΠΎΠΌ ΡΠ»ΡΠ±ΠΊΠΈ Digital Smile Design Π²Ρ ΠΌΠΎΠΆΠ΅ΡΠ΅ ΠΎΡΠ΅Π½ΠΈΡΡ ΡΠ²ΠΎΠΉ Π½ΠΎΠ²ΡΠΉ ΠΎΠ±ΡΠ°Π· Π΅ΡΠ΅ Π΄ΠΎ Π½Π°ΡΠ°Π»Π° ΡΡΡΠ°Π½ΠΎΠ²ΠΊΠΈ β Π½Π° ΡΠΎΡΠΎΠ³ΡΠ°ΡΠΈΠΈ ΠΈΠ»ΠΈ Π½Π° ΠΏΡΠΈΠΌΠ΅ΡΠΊΠ΅ ΡΠΏΠ΅ΡΠΈΠ°Π»ΡΠ½ΠΎΠΉ Π²ΡΠ΅ΠΌΠ΅Π½Π½ΠΎΠΉ ΠΌΠΎΠ΄Π΅Π»ΠΈ. Π’ΠΎΠ»ΡΠΊΠΎ ΠΏΠΎΡΠ»Π΅ ΡΠΎΠ³Π»Π°ΡΠΎΠ²Π°Π½ΠΈΡ Ρ Π²Π°ΠΌΠΈ Π²ΡΠ΅Ρ Π΄Π΅ΡΠ°Π»Π΅ΠΉ Π½Π°ΡΠΈ ΡΠΏΠ΅ΡΠΈΠ°Π»ΠΈΡΡΡ ΠΏΡΠΈΡΡΡΠΏΡΡ ΠΊ ΠΎΡΠ½ΠΎΠ²Π½ΡΠΌ ΡΠ°Π±ΠΎΡΠ°ΠΌ.Β
